令和8年度診療報酬改定を受けて問い合わせが急増 デジタルラボ・大森技工所がCanon社のミリングマシン「MD-500S」を増設導入
関西・関東を中心に約2万件へ配信するファックスニュースレターの反響を受け、CAD/CAM冠の生産体制を強化。これに伴い歯科技工士(正社員)を募集開始
株式会社前仲原物産(本社:奈良県吉野郡大淀町)が運営する大森技工所は、令和6年度診療報酬改定でCAD/CAM冠の大臼歯要件が緩和されたこと、またエンドクラウン(1,450点)が新設されたこと、さらに令和8年度改定では光学印象の適用拡大と点数引き上げ(100点→150点)が行われ、口腔内スキャナーを用いた印象がCAD/CAM冠にも適用されるなど、デジタル技工への需要が高まっていることを受け、2026年3月にCanon製歯科用ミリングマシン「MD-500S」を新たに増設導入することを本日発表いたしました。これに伴い、最新設備を扱える歯科技工士(正社員)の募集を開始いたします。
大森技工所では、関西・関東を中心とした約2万件の歯科医院へファックスニュースレターを配信しており、令和8年度診療報酬改定で光学印象の適用がCAD/CAM冠に拡大され点数も引き上げられたことなどから、多数のお問い合わせをいただいております。現在お待ちいただいている歯科医院の皆様へ、より迅速かつ高品質な技工物をお届けするため、今回の設備増強を決定いたしました。
\デジタル技工で時代にあった働き方を/

令和8年度診療報酬改定がもたらした技工所への影響
令和6年度診療報酬改定では、CAD/CAM冠の大臼歯への適用要件が緩和され、条件付きながら第二大臼歯にも拡大されたほか、エンドクラウン(1,450点)が新設されました。
そして令和8年度改定では、口腔内スキャナー(IOS)を用いた光学印象の評価が大幅に引き上げられ、1歯につき100点から150点へ増点されるとともに、これまで「CAD/CAMインレー」のみだった適用が「CAD/CAM冠」にも拡大されるなど、デジタル技工への需要が急増する改定内容となっています。
当技工所では、これらの改定内容をいち早くファックスニュースレターで歯科医院の皆様へお伝えしたところ、CAD/CAM冠やジルコニア冠の製作に関する問い合わせが大幅に増加。現在の生産体制では対応に時間を要する状況となっておりました。
Canon MD-500Sの導入で実現する高速・高精度加工



今回増設導入する「Canon MD-500S」は、キヤノン電子株式会社が開発した歯科用ミリングマシンのハイエンドモデルです。主な特徴は以下の通りです。
- C型クランプによる側方切削
ディスク固定プレートの一部を開口させることで、歯間部や前歯部アンダーカットへの微細加工が可能。技工物のさらなる審美性向上を実現します。 - 高精度加工で薄いマージンラインに対応
高い剛性設計により、マージンライン50μmの精密加工が可能。手仕上げの作業時間を大幅に削減し、技工士の負担を軽減します。 - 高速加工で生産性向上
5軸サーボモーター制御システムにより、CAD/CAM冠は最短8分で加工。複数のワークを同時装着できるため、効率的な生産体制を構築できます。 - 対応素材の幅広さ
ハイブリッドレジン、ジルコニア、PMMA、ワックス、PEEKなど、多様な歯科材料に対応。幅広い症例に対応可能です。 - キャリブレーション不要
高精度リニアガイドとボールねじの採用により、キャリブレーション作業が不要。メンテナンス性に優れています。 - 受賞歴のあるデザイン
キヤノン電子のMD-500シリーズは、2019年グッドデザイン賞BEST100、iFデザインアワード2021、第51回機械工業デザイン賞「日本デザイン振興会賞」など多数の受賞歴を持つデザイン性の高いミリングマシン。
ファックスニュースレターで関西・関東約2万件の歯科医院とつながる
大森技工所では、関西・関東エリアを中心に約2万件の歯科医院へ定期的にファックスニュースレターを配信しております。保険改定や最新の技工技術、材料情報などをタイムリーにお届けすることで、歯科医院の皆様との信頼関係を構築してまいりました。
今回の令和8年度診療報酬改定に関する情報配信後、CAD/CAM冠に関する問い合わせが急増し、多くの歯科医院様にお待ちいただいている状況です。MD-500Sの導入により、お待ちいただいている全ての歯科医院様へ、より迅速に高品質な技工物をお届けできる体制を整えてまいります。
デジタル技工所としての強み
大森技工所は、奈良県吉野郡においてデジタル技術を積極的に活用する歯科技工所として、以下の分野を得意としております。
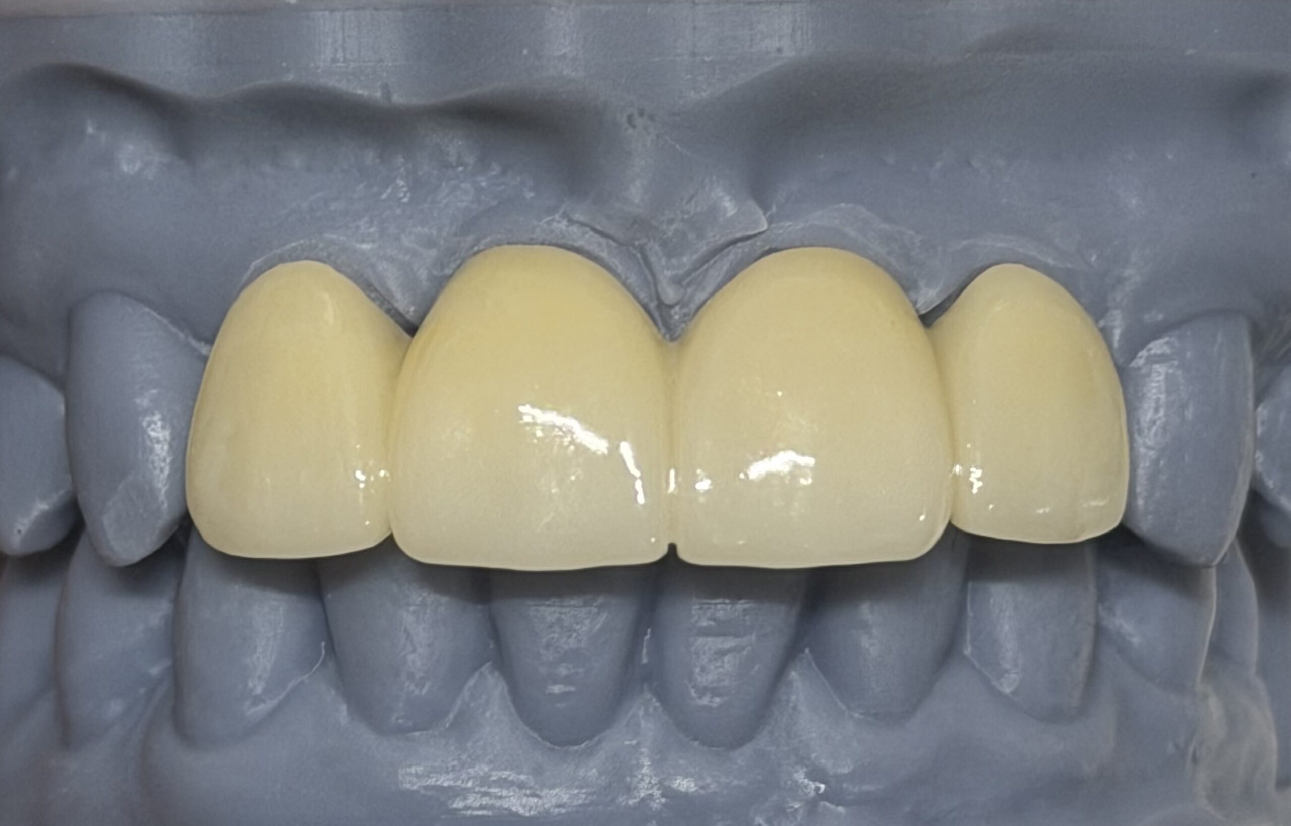
- 保険適用CAD/CAM冠(インレー含む)
- ジルコニア/e-max等のセラミック
- ノンクラスプデンチャー
従来のアナログ技工とデジタル技工を融合させ、精度と審美性を両立した技工物の製作を行っております。今回のMD-500S導入により、さらなる品質向上と生産性の向上を実現してまいります。
今後の展開
今回のMD-500S増設を皮切りに、今後もお問い合わせの状況に応じてミリングマシンを順次導入し、生産体制を拡大してまいります。デジタル技工の強みを最大限に活かし、全国の歯科医院の皆様へ、より迅速で高品質な技工サービスを提供できる体制を構築してまいります。
また、最新の材料や技術に関する情報発信も継続的に行い、歯科医療の発展に貢献してまいります。
代表者コメント
令和8年度診療報酬改定により、光学印象のCAD/CAM冠への適用拡大と点数引き上げが行われたことは、デジタル歯科医療の大きな前進だと考えております。ファックスニュースレターを通じて約2万件の歯科医院様とつながりを持たせていただいておりますが、今回の改定後、本当に多くのお問い合わせをいただき、歯科医院の皆様の期待の大きさを実感しております。
お待ちいただいている全ての歯科医院様へ、一日でも早く高品質な技工物をお届けできるよう、今回Canon製MD-500Sの増設を決定いたしました。この最新設備を最大限に活用し、精度と審美性、そしてスピードを兼ね備えた技工サービスを提供してまいります。
また、今回の設備増強に伴い、共に働いてくださる歯科技工士の仲間を募集しております。最新のデジタル設備が整った環境で、これからの歯科技工を一緒に創っていきたいという方のご応募を心よりお待ちしております。
大森技工所 森
\デジタル技工で時代にあった働き方を/
